When is it "safe" to treat the fracture?
The primary care physician who wishes to manage fractures needs to know
what is "safe" to treat, and what should be referred to a specialist.
There are some fractures that should be referred to a specialist. These
include:
- Fractures around or involving joint surfaces. Even slight displacement
involving the joint surface can lead to disabling long-term problems
like degenerative arthritis and pain.
- Fractures with significant displacement or angulation on X-rays, or
with obvious deformity on clinical exam. The degree of displacement
or angulation that can be accepted depends on the particular bone involved,
and the age of the patient. However, 50% displacement and 30 degree
angulation is the upper limit of acceptability for most bones. Depending
on your experience, and for the sake of safety, you may pick 15 degrees
of angulation or less as your upper limit.
- Skin compromise in terms of extensive or deep abrasion or laceration
associated with the fracture may preferably be treated by a specialist.
This is especially important if there is some concern if it is an open
fracture.
- Neurovascular concerns are best referred to a specialist. Any significant
swelling, severe pain distal to the fracture and muscle weakness are
warning signs.
- Epiphyseal plate injuries, except for certain Type I epiphyseal plate
injuries listed below are best referred out. There is no need for you
to be responsible for long-term growth problems.
- Fractures of certain specific regions are safer treated by a specialist
because of their tendency to cause problems - spine, hip, femur, tibia,
calcaneus, talus, elbow and forearm.
The following are examples of "safe" fractures that can usually be treated
by the primary care physician. However, it is important for any physician
who wishes to venture into fracture treatment to understand that there
are pitfalls even in "safe areas", and vigilance is ever required.
|
Fracture Clavicle
- Swelling around fracture, but skin is not compromised.
- Lungs clear with good air entry
- Neck has full ROM with no tenderness
- Neurovascular exam of Upper Limb normal
- X-rays show midshaft Fracture with minimal or no angulation
or displacement
Treatment: Clavicular
splint for 6 weeks in children, and 8 to 10 weeks in adults
|
|
|
Fracture neck of Humerus
- Swelling around fracture, but no skin compromise and no deformity
- Neurovascular exam of Upper Limb is normal
- X-rays show not more than 30 degrees of angulation
Treatment: Arm
sling or shoulder immobilizer for 6 weeks in children, and 8
to 10 weeks in adults
|
|
|

|
|

|
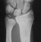
Fractures of lower radius and ulna
- Swelling around fracture, but no skin compromise and no deformity
- Neurovascular exam normal
- X-rays show fractures with angulation of not more than 15 degrees
Treatment: Casting or Wrist
Fracture Brace for 4 to 6 weeks in children, and 6 to 8 weeks
in adults
|
|
|
|
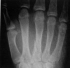
Fracture of metacarpal
- Swelling around fracture, but no deformity
- Neurovascular exam normal
- X-rays show angulaton of not more than 15 degrees
Treatment:
Wrist-Hand-Finger Orthosis (WHFO) immobilizing the MP and IP
joints for 4 to 6 weeks.
|

|
|

|
|
|
Fracture phalanx (finger)
- Swelling expected, but no deformity. Check especially for rotational
deformities
- Neurvascular exam normal
- X-rays show angulation of not more than 15 degrees
Treatment: Wrist-Hand-Finger Orthosis (WHFO) for proximal
phalanx; Finger aluminum
splint for middle and distal phalanx, immobilizing the joint
proximal and distal to the fracture for about 3 weeks.
|
|
|
|
Fracture metatarsal
- Swelling around fracture, but no deformity
- Neurovascular exam normal
- X-rays show angulation of no more than 15 degrees
Treatment: Regular walking cast, or a removeable walking cast (Pediwalker)
for 6 to 8 weeks
|
|
|

|
|

|
Fracture Toe
- Swelling around fracture, but no deformity
- Neurovascular exam normal
- X-rays show angulation of no more than 15 degrees
Treatment: Buddy taping for 3 weeks, using sticky tape or Coflex
bandage.
|
|

|
Contusion or Type I Epiphyseal plate injuries in children
Difficult to distinguish when there is no displacement. If there is exquisite
tenderness at the epiphyseal plate, the diagnosis is assumed.
- Swelling expected, but skin is not compromised
- Neurovascular exam is normal
- X-rays may be normal or may show slight widening of the epiphyseal
plate
Treatment: Immobilisation of the joint involved, e.g.,